Index

Abstract

Uterine leiomyosarcoma (ULMS) is a rare cancer that originates from the smooth muscle of the uterine wall. ULMS is aggressive with a high rate of recurrence and mortality. Although the majority of ULMS are initially diagnosed within the uterus, they possess a high metastatic potential. Two thirds of metastatic ULMS sites involve the lung. However, the clinical presentations of such metastases are surprisingly not well described. In this case, we describe a case of a woman in her forties who presented with 6 months of worsening dyspnea and chronic cough. Her pulmonary function test demonstrated severe restrictive lung disease. Computed tomography (CT) of the chest was done which showed multiple pulmonary nodules. CT abdomen and pelvis identified multiple uterine masses with largest being 17 cm. Biopsy of uterine masses confirmed the diagnosis of UMLS. Her restrictive lung disease was diagnosed to be secondary to UMLS, as patient had no other identifiable risk factors.

Keywords: Uterine leiomyosarcoma, Restrictive lung disease, Dyspnea, Smooth muscle malignancy, Lung nodules, Acute hypoxic respiratory failure.

Received: 14 December 2020 / Revised: 3 February 2021 / Accepted: 18 February 2021/ Published: 1 March 2021

Contribution/ Originality

This paper documents a rare case of uterine leiomyosarcoma (ULMS) that presented as severe restrictive lung disease. It further highlights the essence of keeping broad differentials when managing a patient with non-specific pulmonary symptoms.


1. CASE PRESENTATION

An African American woman in her forties presented to the pulmonary clinic with chief complaints of progressive dyspnea over the last six months, chest pain and chronic cough. Her coughs were constant throughout the day and worse with exertion. She denied any episodes of wheezing, orthopnea, paroxysmal nocturnal dyspnea or leg edema. Her past medical histories were notable for uncontrolled hypertension, anemia and obesity. There was no pertinent family history. She was a lifelong non-smoker and worked in a nursing home. Medications included an oral iron supplement.

2. PHYSICAL EXAMINATION FINDINGS

Vital signs were notable for an elevated blood pressure of 162/86 mmHg, heart rate of 102 beats per minute, respiratory rate of 18 breaths per minute, oxygen saturation of 95% on room air, and a body mass index of 32.9 kg/m2. In general, she appeared in mild respiratory distress. Chest auscultation demonstrated shallow inspiration but otherwise clear lung sounds bilaterally in all four quadrants without wheezes nor crackles. She had a regular rhythm and normal heart sounds without a murmur. There was neither tenderness nor organomegaly on abdominal exam. The rest of her physical exam was unrevealing.

3. DIAGNOSTIC STUDIES

Laboratory workup showed a microcytic anemia, with hemoglobin of 9.2 gm/dL and mean corpuscular volume of 65.5 fL, which were within her normal baseline. Further, the cardiology team evaluated her, and studies from Zio Patch cardiac monitoring, stress test and echocardiogram were all unremarkable. She was started on Carvedilol 6.25mg twice a day for her uncontrolled hypertension. Pulmonary function testing demonstrated severe restrictive physiology with total lung capacity (TLC) 35% of predicted, forced expiratory volume in one second (FEV1) 34% of predicted, forced vital capacity (FVC) 31% of predicted and no response to bronchodilators. Patient was unable to perform testing for diffusion capacity of the lungs for carbon monoxide. A subsequent computed tomography (CT) scan of her chest showed multiple nodular opacities throughout both lungs, including the left lung apex and right perihilar region Figure 1.

Figure-1. CT of the chest without contrast. A) Diffuse patchy opacities in both lungs. B) Well-circumscribed masslike soft tissue nodule in the left lung apex (red arrow) and a masslike opacity in the right perihilar region (blue arrow).

Question: What is the diagnosis?
Answer: Restrictive lung disease secondary to lung metastases from uterine leiomyosarcoma.

4. DISCUSSION

Leiomyosarcoma is an aggressive smooth muscle malignancy that accounts for 10-20% of soft tissue sarcomas, with the uterus being the most common site [1]. Uterine leiomyosarcoma (ULMS) most commonly present with uterine bleeding, abdominal pain, or urinary symptoms. They typically occur in the perimenopausal age group [2]. Although the majority of ULMS are initially diagnosed within the uterus, they possess a high metastatic potential [3]. Two thirds of metastatic ULMS sites involve the lung and the rest includes cranial/intracranial sites, skin/soft tissues and bone [4]. Frequently, lung metastases are detected as pulmonary nodules and masses varying in size between 5 mm to 14 cm [5]. Patients with metastatic ULMS have an overall poor prognosis as those with pulmonary metastases have a median survival of 33.5 months [6]. The standard management of ULMS is surgical resection of the uterus, gross tumor and sites of metastases [7]. The efficacy of adjuvant radiotherapy/chemotherapy remains under investigation [7, 8]. Despite robust literature on the prognosis and treatment for ULMS and pulmonary metastases, the clinical presentations of such metastases are surprisingly not well described. One study described a patient with a history of ULMS and subsequent resection who presented with chest discomfort and was found to have a tumor mass of 35 mm in the inferior lobe of her right lung [9]. Cases linking ULMS-associated pulmonary metastases to a primary pulmonary pathology such as restrictive lung disease have not been previously described.

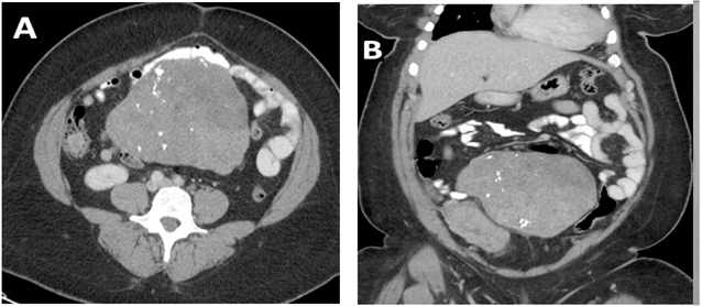
Restrictive lung diseases (RLD) are defined by reduced lung volumes, which are demonstrated on pulmonary function testing: FEV1/FVC ≥0.70 and baseline FVC <80% predicted [10]. RLD are categorized into intrinsic lung diseases due to alterations in lung parenchyma, idiopathic fibrotic disorders, and extrinsic lung diseases due to issues with the chest wall, pleura, or neuromuscular apparatus [10, 11]. There are numerous factors that can lead to restrictive lung function including older age, medication use, family history, occupational/environmental history, smoking status, higher BMI and presence of diabetes [12]. The patient did not have any significant risk factor except for her body mass index 32.9 kg/m2 [13]. It is reasonable to postulate a contributory role of her overall body habitus, but certainly not the primary factor based on the severity of her RLD. Another possible explanation is a mass effect from the large primary uterine neoplasm causing decreased lung volumes. CT of the abdomen and pelvis in our patient showed multiple large uterine masses with calcifications measuring up to 17 cm in diameter Figure 2.

Figure-2. CT of the abdomen and pelvis with contrast. A) Multiple large uterine and exophytic uterine masses with calcifications. B) The largest mass creates a mass effect in the abdomen on the bowel.

Source: Patient.

However, with a total TLC 35% of predicted, her degree of restriction is severe beyond the possible mass effect. Another common cause of RLD that was considered in her case was sarcoidosis, due to her race and the involvement of a mass in the perihilar region [14]. CT-guided core needle biopsy of a right lower lobe nodule revealed metastatic smooth muscle neoplasm of uncertain malignant potential, and no evidence of granuloma or any inflammatory processes. She was committed to a 4-week course of oral prednisone. A repeat CT chest showed no significant change in comparison to previous study. Altogether, this rules out sarcoidosis. Moreover, workup for connective tissue diseases was negative. This leaves us with the ULMS and pulmonary metastases as a likely cause of her RLD, although the exact physiology of this connection is not clear.

5. CLINICAL COURSE

Patient was referred to gynecologic oncology for further evaluation. During her outpatient workup, patient was admitted to the hospital due to acute hypoxic respiratory failure. She did not improve during the hospital stay and was discharged on 2L of oxygen. She has remained dependent on supplemental oxygen since then. She eventually underwent a total abdominal hysterectomy along with bilateral salpingo-oophorectomy. The biopsy from the primary site was consistent with leiomyosarcoma.

6. CLINICAL PEARLS

  1. Evaluation of shortness of breath must include both cardiac and pulmonary workups. 
  2. Restrictive lung diseases are characterized by reduced volumes, and the differential diagnoses are broad. Pulmonary function testing is essential in diagnosing and assessing the severity of restriction.
  3. Uterine leiomyosarcoma is a rare tumor with frequent metastases to the lungs. Clinical presentations are not well described, but it can potentially lead to severe restrictive lung physiology as detailed in this case.

Abbreviation List

TLC : total lung capacity.
FEV1 : forced expiratory volume in one second.
FVC : forced vital capacity.
CT : computed tomography.
ULMS : uterine leiomyosarcoma.
RLD : restrictive lung diseases.

Funding: This study received no specific financial support.  

Competing Interests: The authors declare that they have no competing interests.

Acknowledgement: All authors contributed equally to the conception and design of the study.

REFERENCES

[1]          C. Serrano and S. George, "Leiomyosarcoma," Hematology/oncology Clinics of North America, vol. 27, pp. 957-74, 2013.Available at: 10.1016/j.hoc.2013.07.002.

[2]          F. Amant, A. Coosemans, M. Debiec-Rychter, D. Timmerman, and I. Vergote, "Clinical management of uterine sarcomas," The Lancet Oncology, vol. 10, pp. 1188-1198, 2009.

[3]          B.-L. L. Seagle, J. Sobecki-Rausch, A. E. Strohl, A. Shilpi, A. Grace, and S. Shahabi, "Prognosis and treatment of uterine leiomyosarcoma: A National Cancer Database study," Gynecologic Oncology, vol. 145, pp. 61-70, 2017.Available at: https://doi.org/10.1016/j.ygyno.2017.02.012.

[4]          C. Bartosch, M. Afonso, A. S. Pires-Luís, A. Galaghar, M. Guimarães, L. Antunes, and J. M. Lopes, "Distant metastases in uterine leiomyosarcomas: The wide variety of body sites and time intervals to metastatic relapse," International Journal of Gynecological Pathology, vol. 36, pp. 31-41, 2017.Available at: https://doi.org/10.1097/pgp.0000000000000284.

[5]          K. G. Billingsley, M. E. Burt, E. Jara, R. J. Ginsberg, J. M. Woodruff, D. H. Leung, and M. F. Brennan, "Pulmonary metastases from soft tissue sarcoma: Analysis of patterns of disease and postmetastasis survival," Annals of Surgery, vol. 229, pp. 602-612, 1999.Available at: https://doi.org/10.1097/00000658-199905000-00002.

[6]          M. M. Leitao, M. F. Brennan, M. Hensley, Y. Sonoda, A. Hummer, D. Bhaskaran, E. Venkatraman, K. Alektiar, and R. R. Barakat, "Surgical resection of pulmonary and extrapulmonary recurrences of uterine leiomyosarcoma," Gynecologic Oncology, vol. 87, pp. 287-294, 2002.Available at: https://doi.org/10.1006/gyno.2002.6840.

[7]          S. H. Tirumani, P. Deaver, A. B. Shinagare, H. Tirumani, J. L. Hornick, S. George, and N. H. Ramaiya, "Metastatic pattern of uterine leiomyosarcoma: Retrospective analysis of the predictors and outcome in 113 patients," Journal of Gynecologic Oncology, vol. 25, pp. 306-312, 2014.

[8]          B. M. Burt, S. Ocejo, C. M. Mery, M. Dasilva, R. Bueno, D. J. Sugarbaker, and M. T. Jaklitsch, "Repeated and aggressive pulmonary resections for leiomyosarcoma metastases extends survival," The Annals of Thoracic Surgery, vol. 92, pp. 1202-1207, 2011.Available at: https://doi.org/10.1016/j.athoracsur.2011.05.052.

[9]          M. Guazzaroni, D. Tosti, M. Rascioni, M. Mataloni, D. Citraro, and G. Simonetti, "Lung metastasis after an eighteen-years-long disease-free period since uterine leiomyosarcoma diagnosis," Case Rep Oncol Med, vol. 2014, p. 961675, 2014.Available at: 10.1155/2014/961675.

[10]        D. B. Esposito, S. Lanes, M. Donneyong, C. N. Holick, J. A. Lasky, D. Lederer, S. D. Nathan, S. O’Quinn, J. Parker, and T. N. Tran, "Idiopathic pulmonary fibrosis in United States automated claims. Incidence, prevalence, and algorithm validation," American Journal of Respiratory and Critical Care Medicine, vol. 192, pp. 1200-1207, 2015.Available at: https://doi.org/10.1164/rccm.201504-0818oc.

[11]        G. Margaritopoulos, E. Vasarmidi, J. Jacob, A. Wells, and K. Antoniou, "Smoking and interstitial lung diseases," The European Respiratory Review, vol. 24, pp. 428-435, 2015.

[12]        S. D. Navaneethan, S. Mandayam, S. Arrigain, M. Rahman, W. C. Winkelmayer, and J. D. Schold, "Obstructive and restrictive lung function measures and CKD: National Health and nutrition examination survey (NHANES) 2007-2012," American Journal of Kidney Diseases, vol. 68, pp. 414-421, 2016.Available at: https://doi.org/10.1053/j.ajkd.2016.03.415.

[13]        C. Zammit, H. Liddicoat, I. Moonsie, and H. Makker, "Obesity and respiratory diseases," International Journal Gen Med, vol. 3, pp. 335–343, 2010.Available at: 10.2147/IJGM.S11926.

[14]        M. A. Judson, "The clinical features of sarcoidosis: A comprehensive review," Clinic Rev Allerg Immunol, vol. 49, pp. 63–78, 2015.Available at: 10.1007/s12016-014-8450-y.

Views and opinions expressed in this article are the views and opinions of the author(s), International Journal of Medical and Health Sciences Research shall not be responsible or answerable for any loss, damage or liability etc. caused in relation to/arising out of the use of the content.