Index

Abstract

This study examined histopathological alterations in the gills, fillet and liver of Hemichromis fasciatus in Igun reservoir (located in an abandoned goldmine area) compared to those of Opa reservoir. Fresh adult fish samples were collected from Opa and Igun reservoirs and identified in the laboratory. Techniques based on histological analyses were done on the organs and photomicrographs taken using digital binocular compound LED microscope. Epithelial lifting and hypertrophy of lamellae were observed in the gills of H. fasciatus in Opa reservoir compared to rupture of gill epithelium, rupture of chloride cell, fusion, hyperplasia, curling of lamellae in H. fasciatus of Igun reservoir. The fillet of H. fasciatus in Opa and Igun reservoirs revealed splitting and atrophy of muscle bundles. Also, parasite cyst and necrosis was observed in the fillet of H. fasciatus of Igun reservoir compared to degeneration in muscle bundles in the fish of Opa reservoir. Similarly, the liver of H. fasciatus in Igun and Opa reservoirs showed splitting at the wall of central vein, hepatopancreas and liver cells degeneration. Moreover, nucleus hypertrophy were also identified in the liver of H. fasciatus in Opa reservoir compared to vascular congestion in the central vein, bile duct, portal vein and portal artery of H. fasciatus in Igun reservoir. The study therefore concluded that H. fasciatus specimens in Igun reservoir are histopathologically unhealthy compared to those of Opa reservoir.

Keywords: Gills, Fillet, Liver, Hemichromis, Fasciatus, Histopathology, Reservoir.

Received: 3 October 2019 / Revised: 6 November 2019 / Accepted: 10 December 2019/ Published: 23 January 2020

Contribution/ Originality

This study documents histopathological alteration in the organs of Hemichromis fasciatus collected from an abandoned gold mine reservoir of Igun and Opa reservoir. The study confirmed the effects of established heavy metals pollution in Igun reservoir due to pronounced alterations observed in the fish specimens from Igun reservoir when compared to the relatively unpolluted Opa reservoir.


1. INTRODUCTION

The Cichlid, Hemichromis fasciatus [1 ] commonly called banded jewel fish is an ornamental fish which occurs in various freshwater bodies in Africa. Fish are at the high trophic level of the food web and may accumulate large amounts of heavy metals from the water and often in concentrations several times higher than in the ambient water. An increased pollution of the aquatic environment had caused severe alterations of tissues and organs in aquatic organisms [2 ]. The authors are of the view that in a disturbed environment, especially where pollutants occur in chronic and sublethal concentrations, changes in the structure and function of aquatic organisms are more frequent than mass mortality. Poleksic and Mitrovic-Tutundzic [3 ] noted that one of the possible methods of evaluating the effects of pollutants in fish is to examine their organs fo.0r morphological changes.

Raskovic, et al. [4 ] reported that fish can be used to evaluate the health of aquatic ecosystems because contaminants build up in the food chain and are responsible for adverse effects and death in the aquatic systems. Also, studies carried out on various fishes have shown that heavy metals altered the physiological activities and biochemical parameters in organism tissues as observed by Popov, et al. [5 ]; Golovanova [6 ]; Mary, et al. [7 ]. The toxic effect of heavy metals in fish includes bioaccumulation, histopathological changes in tissues as reviewed by Usha Rani [8 ]; Adami, et al. [9 ] and Sehar, et al. [10 ].

Similarly, histopathological changes have been widely used as bio-indicators in evaluating the health of fish exposed to contaminants, both in the laboratory and field studies. Hence, histopathological alterations can be used as indicators for monitoring the effects of various anthropogenic pollutants on organisms and are a reflection of the overall health of the entire population in the ecosystem as reported by Mohamed [11 ]. Drishya, et al. [12 ] stated that one of the advantages of using histopathological bio-indicators in environmental monitoring is that this category of bio-indicators allows examining specific target tissues which includes: gills, kidney and liver that are responsible for vital roles. These functions are respiration, excretion and the accumulation and biotransformation of xenobiotics in the fish.

Furthermore, the alterations found in these organs are normally easier to identify than functional ones [13 ] and serve as warning signs of damage to animal health [14 ]. According to Yildiz, et al. [15 ] increasing exposure to toxic elements in fresh water organisms such as fish and river birds which are often used to monitor the presence of contaminants can have adverse toxicological effects. Available records have shown that fish species in Igun reservoir bioaccumulated more heavy metals compared to fish species in Opa reservoir [16, 17 ].

This study therefore aims to compare histopathological alterations in the gills, fillet and liver of Igun and Opa reservoirs.

2. MATERIALS AND METHODS

2.1. Study Area

The study areas are abandoned gold mine reservoir at Igun village in Atakumosa West Local Government area of Osun State and Opa freshwater reservoir at Ife central local Government area of Osun State. The abandoned gold mine reservoir extends over longitude 004030E-004045E and latitude 07035N-07038N. Streams such as Oika, Eleripon and Osun which serve the community were impounded to form reservoirs in order to meet the mining needs of the Nigerian Mining cooperation which started in December 1941. While Opa reservoir is located in Ile-Ife, Osun State, Nigeria and was impounded in 1978. The major tributaries are rivers Opa, Obudu and Esinmirin. The reservoir has a catchment area of about 116km. The reservoir extends over latitudes 07021'N and 07035'N and longitudes 004031'E and 004039'E Figure 1 .

2.2. Collection of Fish Samples

Fish samples were collected on a monthly basis using gill nets, traps and cast net. They were identified using standard keys prepared by Paugy, et al. [18 ] and Adesulu and Sydenham [19 ]. Samples of fish caught were put in a container filled with the reservoir water and dissected in situ.

2.3. Preparation of Fish Tissues and Organs for Histological Analysis

Each fish specimen was split open anteriorly from the anal pore to the pectoral fin to remove its liver, while the gills were removed from the head region. A piece of fillet was also taken just above the lateral line and before the dorsal fin. Each fish gill, fillet and liver were put in a separate well labelled bottle, fixed in 5% formalin for at least 48 hours and transferred into a sampling bottle rack. The method of Bernet, et al. [20 ] was used for tissues processing for histological studies, the tissues were removed from the fixative, and samples of tissue were rinsed in tap water for 5 minutes, dehydrated in ascending ethanol concentrations (70%, 80% and 90% alcohol) for minimum of 2 minutes, cleared or infiltrated in a wax miscible agent (xylene) for 2 minutes and then embedded in paraffin using standard protocols.

Source: Google Earth Map (2016).

The fish tissues were then cut into sections of approximately 5 µm thickness from the block using a rotary microtome (Yamato Kohki, Serial no: 75010JO). The cut samples were dried in a hot air oven to remove moisture and each section were mounted on a glass slide. The sections were de-waxed in a wax-miscible agent, rehydrated through descending concentrations of ethanol (90%, 80% and 70% alcohol) for at least 2 minutes. The sections were then stained with haematoxylin and eosin [21 ] in which the tissues were place in haematoxylin solution for 3 minutes and aqueous eosin for 3 minutes, mounted on a slide and covered with coverslip and labelled appropriately. The tissues were examined, and microphotographs taken using a digital binocular compound LED microscope (model MD827S30L series).

3. RESULTS

3.1. Histopathological Alterations in the Organs of Hemichromis Fasciatus in Opa and Igun Reservoirs

The gills of Hemichromis fasciatus in Opa reservoir showed normal primary and secondary lamellae. However, hypertrophy of primary lamellae was observed as shown in Plate 1.1a and epithelial lifting Plate 1.1e. As shown in Table 1, the two lesions in the fish gills are in first-stage of severity. The photomicrograph of gill section in H. fasciatus of Igun reservoir showed fusion of secondary lamellae Plate 1.1b, hyperplasia of secondary lamellae Plate 1.1d, rupture of gill epithelium and curling of secondary lamellae Plate 1.1f. Two of the lesions in the fish gills are in first-stage of severity and three lesions being in second-stage of severity Table 2.

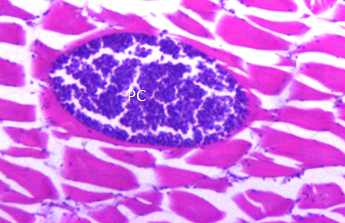
The histopathological changes observed in the fillet of H. fasciatus of Opa reservoir includes atrophy of muscle bundles Plate 1.2a; degeneration in muscle bundles in Plate 1.2c and splitting of muscle bundles Plate 1.2e. In Table 1, two of the fish fillet lesions are in first-stage of severity while one lesion belonged to second-stage of severity. The photomicrograph result of fillet section in H. fasciatus of Igun reservoir showed parasite cyst and atrophy of muscle bundles Plate 1.2d; splitting of muscle bundles and splitting of muscle myofibrils Plate 1.2f. As presented in Table 2, all the lesions are in first-stage of severity.

Result of the histopathological examination of H. fasciatus liver in Opa reservoir include splitting at the wall of central vein as shown in Plate 1.3a; hepatopancreas degeneration and degeneration in liver cells Plate 1.3c and nucleus hypertrophy Plate 1.3e. Also, each of the two lesions in the fish liver are in first and second-stages of severity Table 1. Histopathological alterations in the liver of H. fasciatus in Igun reservoir are shown in Plate 1.3b, with vascular congestions in central vein, splitting at the wall of central vein; vascular congestion in the portal vein, bile duct, and portal artery. Degeneration of liver cells and hepatopancreas degeneration was also observed Plate 1.3d as well as nucleus hypertrophy as shown in Plate 1.3f. In Table 2, two of the fish liver lesions are in first-stage of severity while six lesions belonged to second-stage of severity.

Table-1. Histopathological alterations in the organs of Hemichromis fasciatus in Opa reservoir and stages of severity of the alterations.

Organs
Histopathological alterations
Stage
Gills
Hypertrophy of primary filament
I
Epithelial lifting
I
Fillet
Atrophy of muscle bundles
I
Splitting of muscle bundles
I
Degeneration in muscle bundles
II
Liver
Splitting at the wall of the central vein
I
Nucleus hepatocytes
I
Hepatopancreas degeneration
II
Degeneration of liver cells
II

Note: Stage I = slight alteration.
Stage II = moderate alteration.
Stage III = severe alteration.
Source: Simonato, et al. [22 ].

Table-2. Histopathological alterations in the liver of Hemichromis fasciatus in Igun reservoir and stages of severity of the alterations.

Organs
Histopathological alterations
Stage
Gills
Fusion of secondary lamellae
I
Hyperplasia of secondary lamella
I
Curling of secondary lamellae
II
Rupture of gill epithelium
II
Rupture of chloride cells
II
Fillet
Atrophy of muscle bundles
I
Splitting of muscle myofibrils
I
Splitting of muscle bundles
I
Parasite cyst
I
Liver
Splitting at the wall of the central vein
I
Nucleus hypertrophy
I
Hepatopancreas degeneration
II
Central vein with vascular congestions
II
Portal vein with vascular congestion
II
Portal artery with vascular congestion
II
Vascular congestion  in the bile duct
II
Degeneration of liver cells
II

Note: Stage I = slight alteration.
Stage II = moderate alteration.
Stage III = severe alteration.
Source: Simonato, et al. [22 ].

4. DISCUSSION

The gills of a fish play a vital role in maintaining of aquatic organism ionic homeostasis [23 ]. Subsequently many contaminants come in close contact with gill epithelium and causes injury. The damages could depends on the level and period of exposure of the pollutants. Hypertrophy of primary lamellae and epithelial lifting observed in the gills of H. fasciatus in Opa reservoir were similar to the results of Yogita and Mishra [24 ]. The authors noted that epithelial lifting could lead to dysfunctional or even non-functional gills, and sudden death of the fish. Similarly, histopathological alterations observed in the gills of H. fasciatus in Igun reservoir were similar to the findings of Abdullah [25 ] who observed epithelial necrosis and rupture of the gill epithelium induced by zinc ions in Cyprinus carpio. The epithelium lifting is considered to be one of the initial reactions of the gill to variety of pollutants according to Al-Mansoori [26 ]. The histopathological alterations in this organ are a response to exposure to non-specific pollutants [27 ].

Also, atrophy and splitting of muscle bundles revealed in the fillet of H. fasciatus in Opa and Igun reservoirs was likewise recorded by Ramesh and Nagarajan [28 ] in the muscle of Clarias batrachus. The degeneration of muscle bundles seen in the fillet of H. fasciatus in Opa reservoir was also reported by Kaoud and El-Dahshan [29 ] in the muscle of O. niloticus. It can thus be suggested that different alterations observed in the fillet of H. fasciatus in Opa and Igun reservoirs could be due to the presence of various contaminants in the reservoir.

Histopathological alterations observed in the liver of H. fasciatus in both reservoirs were similarly recorded by Chavan and Muley [30 ] in the liver of Cirrhinus mrigala. These lesions are hepatopancreas degeneration, splitting at the wall of central vein, degeneration of liver cells and nucleus hypertrophy. It seems possible that these alterations are due to heavy metals pollution in the two reservoirs. Furthermore, hepatopancreas degeneration observed in the liver of H. fasciatus in Opa reservoir was similar to the report of Naeemi, et al. [31 ] on histopathological changes of gills, kidney and liver of Caspian kutum exposed to Alkylbenzene Sulfonate. Also, vascular congestion in central vein, portal vein and bile duct seen in the liver of H. fasciatus of Igun reservoir were similar to the alterations observed in the liver of Anabas testudineus in Ban Pu Reservoir according to Saenphet, et al. [32 ].  A possible explanation for congestion in the liver cells could be as a result of injury to the cells. The results of this study is in agreement with the work of Osman, et al. [33 ] who reported congestion in liver cells of Oreochromis niloticus exposed to polluted water. This study has shown that the organs of H. fasciatus in Igun reservoir was severely damaged compared to the organs of H. fasciatus in Opa reservoir. The findings of this study suggest that aquatic pollution resulting from mining activities in Igun reservoir may have resulted to severe changes recorded in the organs of H. fasciatus in Igun reservoir.

Funding: This study received no specific financial support.  

Competing Interests: The authors declare that they have no competing interests.

Acknowledgement: Both authors contributed equally to the conception and design of the study.

REFERENCES

[1]          W. Peters, "Hemichromis fasciatus Peters, 1857. Monthly reports from the Academy of Science, Berlin," p. 403, 1857.

[2]          A. F. Mazon, C. C. C. Cerqueira, E. A. S. Monteiro, and M. N. Fernandes, Acute copper exposure in freshwater fish: Morphological and physiological effect. In VAL, AL. and ALMEIDA-VAL, VMF. Biology of Tropical Fishes. Manaus: INPA, 1999.

[3]          V. Poleksic and V. Mitrovic-Tutundzic, Fish gills as a monitor of sublethal and chronic effects of pollution. In: Müller, R. and Lloyd, R., Eds. Sublethal and chronic effects of pollutants on freshwater fish. Cambridge: Cambridge University Press, 1994.

[4]          B. Raskovic, V. Poleksic, I. Zivic, and M. Spasic, "Histology of carp (Cyprinus carpio, l.) gills and pond water quality in semiintensive production," Bulgarian Journal of Agricultural Science, vol. 16, pp. 253-262, 2010.

[5]          P. Popov, N. Androsova, and G. Anoshin, "Accumulation and distribution of heavy and transition metals in fishes of the Novosibirsk Water Reservoir," Journal of Ichthyology/Voprosy Ikhtiologii, vol. 42, pp. 264-270, 2002.

[6]          I. Golovanova, "Effects of heavy metals on the physiological and biochemical status of fishes and aquatic invertebrates," Inland Water Biology, vol. 1, pp. 93-101, 2008.Available at: https://doi.org/10.1007/s12212-008-1014-1.

[7]          S. C. H. Mary, D. Bhuvaneswari, and R. Anandan, "Biochemical and histopathological studies on lead nitrate induced toxicity in fresh water fish grass carp (Ctenopharyngodon Idella)," European Journal of Experimental Biology, vol. 5, pp. 24-30, 2015.

[8]          A. Usha Rani, "Cadmium induced bioaccumulation in tissue of freshwater teleost Oreochromis mossambicus," Annals of the New York Academy of Science, vol. 919, pp. 318-320, 2000.

[9]          G. Adami, P. Barbieri, M. Fabiani, S. Piselli, S. Predonzani, and E. Reisenhofer, "Levels of cadmium and zinc in hepatopancreas of reared Mytilus galloprovincialis from the Gulf of Trieste (Italy)," Chemosphere, vol. 48, pp. 671-677, 2002.Available at: https://doi.org/10.1016/s0045-6535(02)00196-0.

[10]        A. Sehar, A. Shafaqat, S. A. Uzma, F. Mujahid, A. B. Saima, H. Fakhir, and A. Rehan, "Effect of different heavy metal pollution on fish," Research Journal of Chemical and Environmental Sciences, vol. 21, pp. 74-79, 2014.

[11]        F. A. Mohamed, "Histopathological studies on Tilapia zillii and Solea vulgaris from Lake Qarun, Egypt," World Journal of Fish and Marine Sciences, vol. 1, pp. 29-39, 2009.

[12]        M. Drishya, B. Kumari, K. Mohan, A. Ambikadevi, and B. Aswin, "Histopathological changes in the gills of fresh water fish, Catla catla exposed to electroplating effluent," International Journal of Fisheries and Aquatic, vol. 4, pp. 13-16, 2016.

[13]        K. Thayappan, D. Maghil, A. Remy, and S. Narayanasamy, "Histological study of the intestine and liver tissues in the fish Oreochromis mossambicus exposed to cypermethrin," Journal of Modern Biotechnology, vol. 3, pp. 48-54, 2014.

[14]        D. E. Hinton and D. J. Lauren, Liver structural alterations accompanying chronic toxicity in fishes: Potential biomarkers of exposure. In: Biomarkers of Environmental Contaminations (Edited by J.F.  McCarthy and L.R. Shugart). Boca Raton, FL: Lewis Publisher, 1990.

[15]        D. Yildiz, I. Kula, G. Ay, S. Baslar, and Y. Dogan, "Determination of trace elements in the plants of Mt. Bozdag, Izmir, Turkey," Archives of Biological Sciences, vol. 62, pp. 731-738, 2010.Available at: https://doi.org/10.2298/abs1003731y.

[16]        O. Lawal and O. Komolafe, "Concentrations of heavy metals in three tilapine species of an abandoned gold Mine reservoir in Igun, Nigeria," Nigerian Journal of Fisheries, vol. 9, pp. 581-585, 2012.

[17]        I. Olabanji and E. Oluyemi, "Preliminary assessment of heavy metal pollution of Opa reservoir, Ile-Ife, southwest Nigeria using Mormyrus rume and Tilapia zillii," Ife Journal of Science, vol. 16, pp. 35-43, 2014.

[18]        D. Paugy, C. Leveque, and G. G. Teugel, The fresh and brackish water fishes of West Africa, IRD ed. vol. 1-2: Museum Scientific Publications, 2003.

[19]        E. A. Adesulu and D. H. J. Sydenham, The freshwater fishes and fisheries of Nigeria. Ibadan: Macmillan Nigeria Publishers Limited, 2007.

[20]        D. Bernet, H. Schmidt, W. Meier, P. Burkhardt‐Holm, and T. Wahli, "Histopathology in fish: Proposal for a protocol to assess aquatic pollution," Journal of Fish Diseases, vol. 22, pp. 25-34, 1999.Available at: https://doi.org/10.1046/j.1365-2761.1999.00134.x.

[21]        J. D. Bancroft and H. C. Cook, Manual of histological techniques and their diagnostic application. London: Churchill Livingstone, 1994.

[22]        J. D. Simonato, C. L. Guedes, and C. B. Martinez, "Biochemical, physiological, and histological changes in the neotropical fish Prochilodus lineatus exposed to diesel oil," Ecotoxicology and Environmental Safety, vol. 69, pp. 112-120, 2008.Available at: https://doi.org/10.1016/j.ecoenv.2007.01.012.

[23]        D. H. Evans, Osmotic and ionic regulation, In: The physiology of fishes, edited by D.H. Evans. Boca Raton, FL: CRC, 1993.

[24]        D. Yogita and A. Mishra, "Histopathological alterations in gill and liver anatomy of freshwater, air breathing fish channa punctatus after pesticide hilban (Chlorpyrifos) treatment," Advanced Bioresearch, vol. 4, pp. 57-62, 2013.

[25]        A. Abdullah, "Histological changes induced by zinc ion in the gills of common carp Cyprinus carpio (L.) juveniles," Journal of Agricultural Science, vol. 14, pp. 19-25, 2001.

[26]        A. F. Al-Mansoori, "Histological changes induced by cadmium ion in the Gills, Liver and Intestine of juvenile Carassius carassius (L.)," Basrah Journal of Science, vol. 24, pp. 32-46, 2006.

[27]        D. Au, "The application of histo-cytopathological biomarkers in marine pollution monitoring: A review," Marine Pollution Bulletin, vol. 48, pp. 817-834, 2004.Available at: https://doi.org/10.1016/j.marpolbul.2004.02.032.

[28]        M. Ramesh and K. Nagarajan, "Histopathological changes in the muscle tissue of the fish clarias batrachus exposed to Untreated and Treated Sago Effluent," Advances in Bioscience and Bioengineering, vol. 1, pp. 74-80, 2013.

[29]        H. Kaoud and A. El-Dahshan, "Bioaccumulation and histopathological alterations of the heavy metals in Oreochromis niloticus fish," Nature and Science, vol. 8, pp. 147-156, 2010.

[30]        V. Chavan and D. Muley, "Effect of heavy metals on liver and gill of fish Cirrhinus mrigala," International Journal of Current Microbiology and Applied Sciences, vol. 3, pp. 277-288, 2014.

[31]        A. Naeemi, S. Jamili, N. Shabanipour, A. Mashinchian, and S. Shariati Feizabadi, "Histopathological changes of gill, liver and kidney in Caspian kutum exposed to Linear Alkylbenzene Sulfonate," Iranian Journal of Fisheries Sciences, vol. 12, pp. 887-897, 2013.

[32]        S. Saenphet, W. Thaworn, and K. Saenphet, "Histopathological alterations of the gills, liver and kidneys in Anabas testudineus (Bloch) fish living in an unused lignite mine, li district, Lamphun province, Thailand," Southeast Asian Journal of Tropical Medicine and Public Health, vol. 40, pp. 1121-1126, 2009.

[33]        M. Osman, S. El-Fiky, Y. Soheir, and A. Abeer, "Impact of water pollution on histopathological and electrophoretic characters of Oreochromis niloticus fish," Research Journal of Environmental Toxicology, vol. 3, pp. 9-23, 2009.Available at: https://doi.org/10.3923/rjet.2009.9.23.

APPENDIX

Reagents

  1. 5% formalin
  2. Xylene
  3. 90% alcohol
  4. 80% alcohol
  5. 70% alcohol
  6. Haematoxylin solution
  7. Aqueous eosin

Plate-1.1a. Photomicrograph of gill section in Hemichromis fasciatus  of Opa reservoir (Mag. X40). 

Plate-1.1a. Photomicrograph of gill section in Hemichromis fasciatus  of Opa reservoir (Mag. X40). 

Plate-1.1c. Photomicrograph of gill section in H.  fasciatus  of Opa reservoir (Mag. X400).

Plate-1.1f. Photomicrograph of gill section in H.  fasciatus  of Igun reservoir (Mag. X400).

Keys: primary lamellae (PL), secondary lamellae (SL), hypertrophy of primary lamellae (HPL), fusion of secondary lamellae (FSL), mucous cell (MC), chloride cell (CC) hyperplasia of secondary lamellae (HSL), epithelial lifting (EL), rupture of gill epithelium (RGE), curling of secondary lamellae (CSL) and rupture of chloride cells (RCC).

Haematoxylin and Eosin stain.

Plate-1.2a. Photomicrograph of fillet section in Hemichromis fasciatus  of Opa reservoir (Mag. X40).

Plate-1.2b. Photomicrograph of fillet section in H.  fasciatus  of Igun reservoir (Mag. X40).

Plate-1.2c. Photomicrograph of fillet section in H.  fasciatus  of Opa reservoir (Mag. X100).     

Plate-1.2d. Photomicrograph of fillet section in H.  fasciatus  of Igun reservoir (Mag. X100).

Plate-1.2c. Photomicrograph of fillet section in H.  fasciatus  of Opa reservoir (Mag. X100).     

Plate-1.2d. Photomicrograph of fillet section in H.  fasciatus  of Igun reservoir (Mag. X100).

Plate-1.2e. Photomicrograph of fillet section in H.  fasciatus  of Opa reservoir (Mag. X400).

Plate-1.2f. Photomicrograph of fillet section in H.  fasciatus  of Igun reservoir (Mag. X400).

Keys: atrophy of muscle bundles (AMB), degeneration in muscle bundles (DMB), parasite cyst (PC), splitting of muscle bundles (SMB), splitting of muscle myofibrils (SMM).

Plate-1.3a. Photomicrograph of liver section in Hemichromis fasciatus  of Opa reservoir(Mag. X100).

Plate-1.3b. Photomicrograph of liver section in H.  fasciatus  of Igun reservoir (Mag. X100).

Plate-1.3c. Photomicrograph of liver section in H.  fasciatus  of Opa reservoir (Mag. X100).

Plate-1.3d. Photomicrograph of liver section in H.  fasciatus  of Igun reservoir (Mag. X100).


Plate-1.3e. Photomicrograph of liver section in H.  fasciatus  of Opa reservoir (Mag. X400).

Plate-1.3f. Photomicrograph of liver section in H.  fasciatus  of Igun reservoir (Mag. X400).

Keys: splitting at the wall of the central vein (SCV), central vein  (CV), vascular congestion (VC), portal vein (PV), hepatopancreas degeneration (HD), hepatopancreas (HP), bile duct (BD), degeneration of liver cells (DLC), portal artery (PA), nucleus hepatocytes (NH), hepatocyte (H).

Haematoxylin and Eosin stain.

Views and opinions expressed in this article are the views and opinions of the author(s), International Journal of Advances in Life Science and Technology shall not be responsible or answerable for any loss, damage or liability etc. caused in relation to/arising out of the use of the content.